Tel. 03-3545-0528
ガラスか、歯か。World Standard: Lithium Disilicate

銀座で、
一生モノの歯を手に入れる。

e.max × 10年長期保証。
これが、審美治療の最終結論。

LINEで予約・相談(60分 3,300円)

銀歯の悩み、
銀座で卒業しませんか?

安物買いで、後悔していませんか?

  • 保険の銀歯の下が虫歯になり、再治療を繰り返している
  • 時間が経って変色したプラスチックの歯が気になる
  • 「セラミック」と言われたが、すぐに割れてしまった
  • 高くてもいいから、もう二度とやり直したくない

なぜ、銀座・にわ歯科室の
「e.max」が選ばれるのか

💎
1. 素材の「絶対的」優位性

金属は錆びて歯茎を黒くし、プラスチックは変色します。e.maxは、天然歯と同等の透明感と、ダイヤモンドに近い強度を併せ持つ、現時点で最高峰のセラミック素材です。

🔬
2. 銀座基準の「精密」治療

最高素材も、扱い方が悪ければ台無しです。当院ではマイクロスコープ(歯科用顕微鏡)を使用し、ミクロン単位の精度で歯とセラミックを完全に一体化させます。

🛡️
3. 自信の証「10年」保証

一般的な数年の保証とは一線を画す「10年保証」。これは、「絶対にやり直させない」という私たちの技術への絶対的な自信と、患者様への責任の証です。

逃げも隠れもしない。
異例の「10年長期保証」を約束。

銀座・にわ歯科室では、e.max治療に対し10年間の長期保証をお付けしています。
万が一の破損や脱離があった場合、当院の規定に基づき無償で再治療を行います。
「精密な適合」「厳格な接着」「噛み合わせの適正化」を徹底しているからこそできる約束です。

料金表(全て消費税込み)

e.max インレー 10年保証
(奥歯などの詰め物)
¥220,000
e.max クラウン 10年保証
(前歯・奥歯の被せ物)
¥330,000

※治療費はデンタルローンによる分割払いも可能です。お気軽にご相談ください。

💬
LINEで個別相談を予約(60分 3,300円)
24時間受付中 / 初診・セカンドオピニオンも歓迎

(自由診療専門歯科医院のため、保険証は使えません)

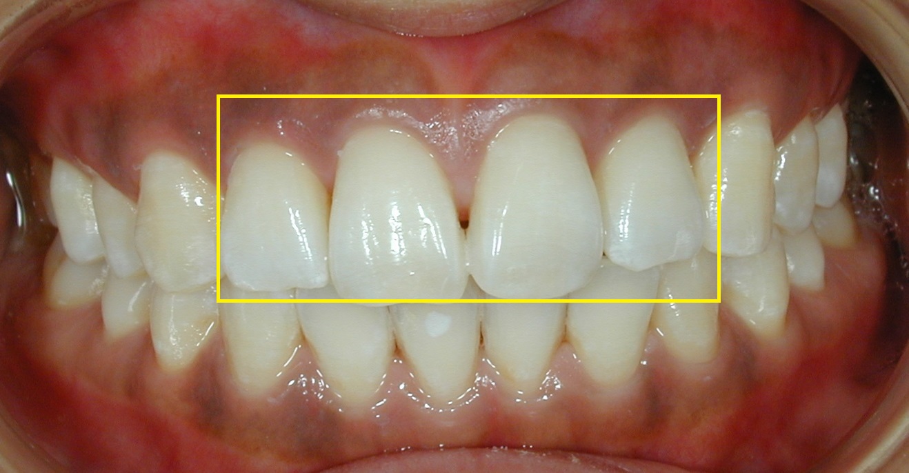
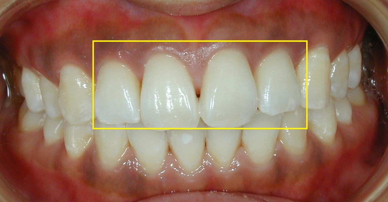
【実証】
プロでも見分けがつかない?
e.maxの自然な美しさ

下の写真の黄色い枠内にある4本の歯のうち、
e.max(セラミック)の歯はどれでしょう?
(正解は2本あります。どれか1つ選んでタップしてください)

問題:e.maxはどれ?

患者様の声

Google クチコミより抜粋

★★★★★

以前入れた銀歯が気になり、こちらでセラミック(e.max)に変えてもらいました。色も形も自然で、どこを治療したか分からないくらい綺麗になり大満足です。もっと早くやればよかったと思いました。

40代 女性

★★★★★

自費診療は初めてで不安でしたが、先生がメリットだけでなくデメリットもしっかり説明してくれたので、納得して治療を受けられました。治療中も痛みに配慮してくださり、安心して任せられました。

30代 男性

★★★★★

他の歯医者さんですぐに割れてしまった経験があり悩んでいましたが、こちらの10年保証に惹かれて相談しました。噛み合わせまで丁寧に調整していただき、今のところ全く問題ありません。信頼できる歯医者さんです。

50代 女性

Googleマップで最新のクチコミを見る >

よくある質問

Q. 詰め物1本で22万円は高く感じますが…?
A. 一般的な相場より高額ですが、これは「10年間の安心」と「最高品質の技術」を含んだ価格です。やり直しのリスクを極限まで減らし、大切な歯を一生守るための投資として、多くの患者様にご納得いただいております。安価な治療を繰り返すより、結果的に経済的でもあります。
Q. 予約はどのように取ればいいですか?
A. 当院は完全予約制です。LINE公式アカウントからのご予約が最もスムーズで、24時間いつでも可能です。お電話でも承っております。

アクセス・医院情報

銀座・にわ歯科室

〒104-0061
東京都中央区銀座4丁目10-1 銀座AZAビル4階

Tel. 03-3545-0528

(完全予約制 / 自由診療専門)

【アクセス】
東京メトロ日比谷線・都営浅草線
「東銀座駅」A2出口より徒歩すぐ

東京メトロ銀座線・丸ノ内線
「銀座駅」A7出口より徒歩約3分
銀座・にわ歯科室 受付
💬LINEで予約・相談(60分 3,300円) >